Discover the power of a confident smile! Our “Before & After” gallery showcases real patients’ journeys, highlighting the incredible results achieved with our expert care. See how Evans Orthodontics turns dreams into stunning smiles!

Class 2

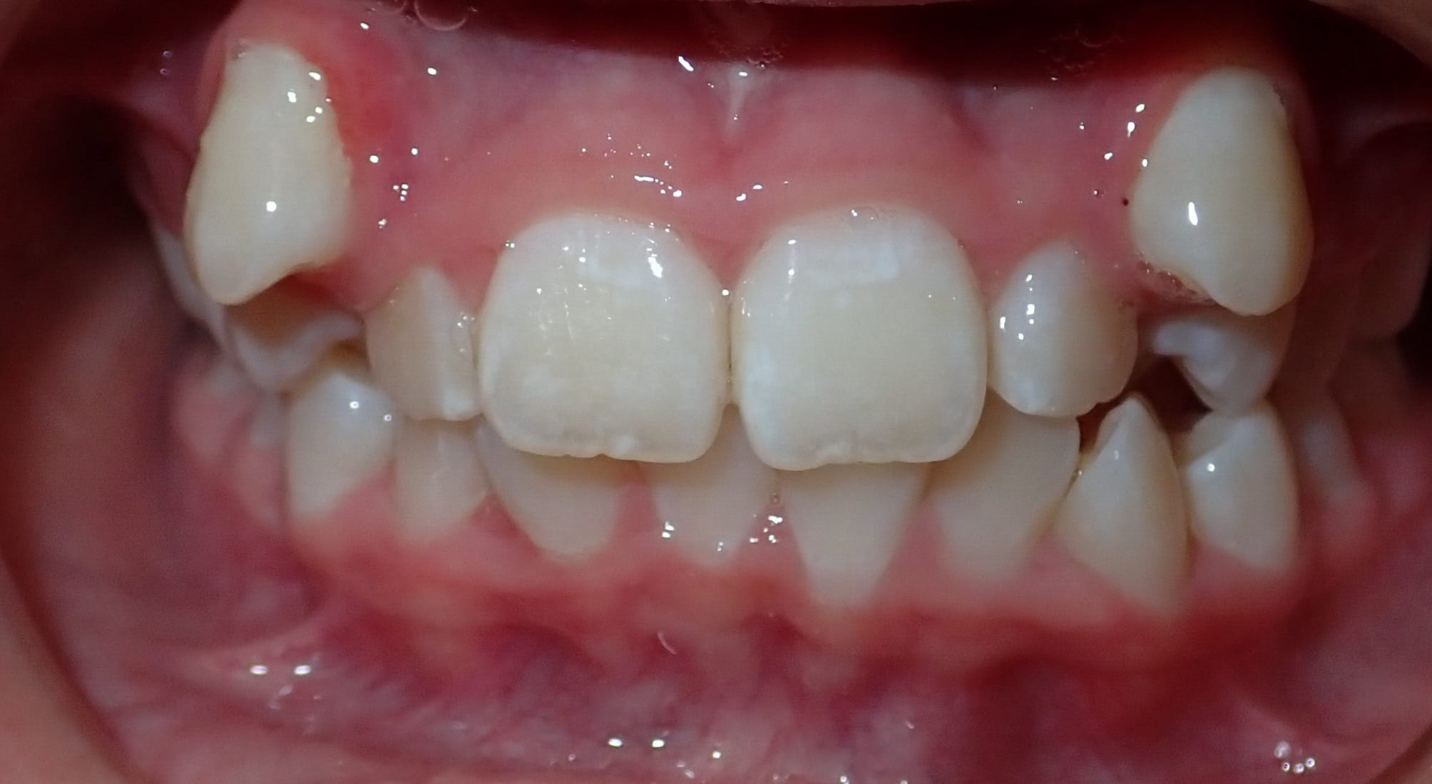
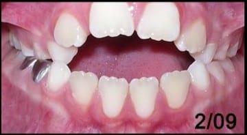
CLASS 3

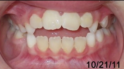
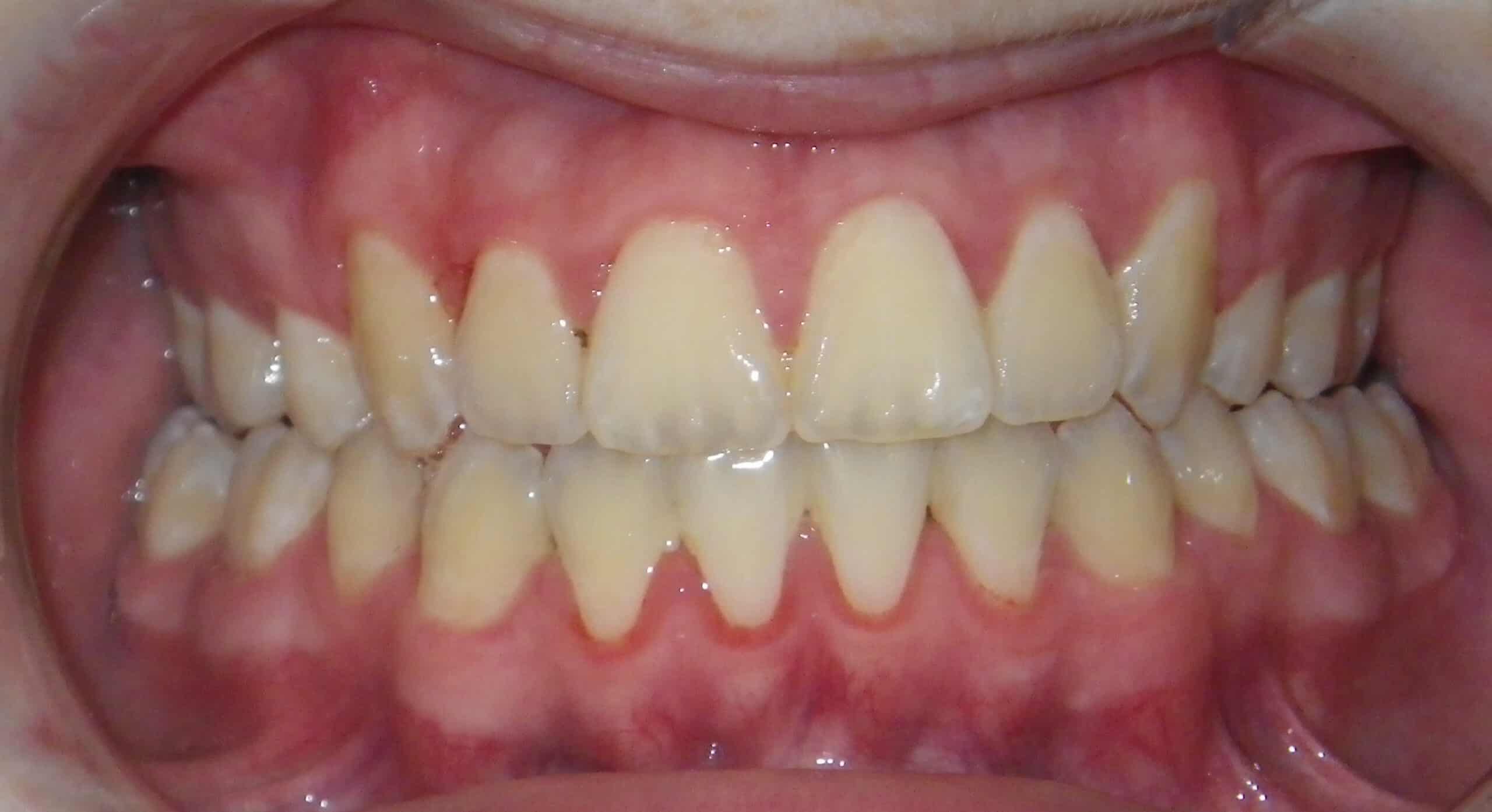
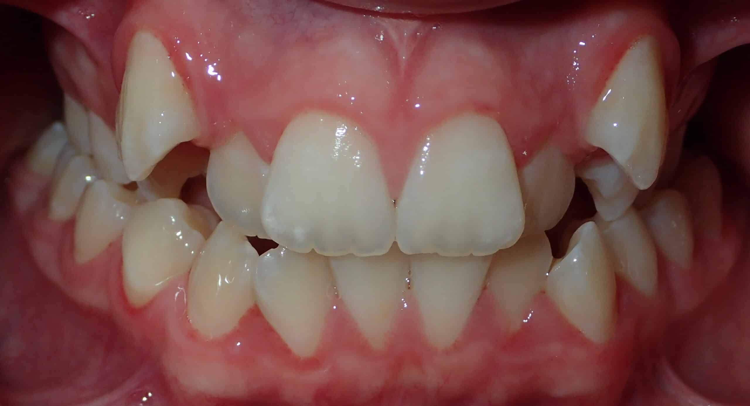
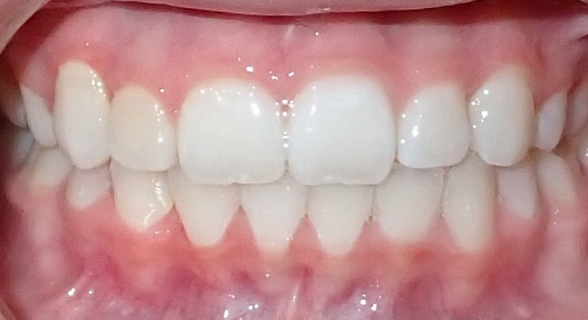
CROWDING

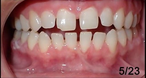
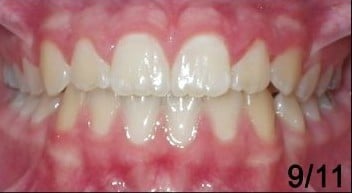
Open Bite Tongue Trainers Only (No braces added)